|
“Enfermedades al microscopio.” |
![]() |

Adaptación al formato virtual.
Para nuestra participación en la 24ª edición de la Feria de la Ciencia hemos pensado tratar el tema de las enfermedades del olivo, en el que además de mostrar muestras macroscópicas que nos sirvan para identificar la enfermedad añadiremos preparaciones de cómo identificar estas enfermedades a nivel microscópico.
En este proyecto nos plantearemos los siguientes objetivos:
• Diferenciar entre plagas y enfermedades
• Reconocer enfermedades causadas por hongos tanto macroscópicamente como al microscopio.
• Reconocer enfermedades causadas por bacterias tanto macroscópicamente como al microscopio.
• Conocer la existencia de otras enfermedades (víricas, carenciales, etc)
Organizaremos las actividades de nuestro proyecto en torno a los objetivos anteriormente señalados.
Pulsando
sobre
este enlace podrá
acceder al proyecto.
ACTIVIDADES:
Ver nota al final de la página.
Actividades |
|
| Las
plagas son ataques producidos por organismos superiores: animales (insectos
y otros) o plantas. Es importante tener clara esta diferencia, pero
también lo es comprender que en muchos casos las plagas sirven
de vectores a las enfermedades, es decir las plagas no sólo causan
un daño directo sino que pueden servir de vehículo para
muchos patógenos. Este año solo nos ocuparemos de las
enfermedades, dejando las plagas para otro proyecto que desarrollaremos
en el futuro. |
|
| Las
enfermedades pueden estar causadas por microorganismos (bacterias, hongos
o virus) o por otros factores (carenciales, climáticas, etc). |
|
| Imágenes en carteles Las imágenes
y otras informaciones de la cartelería tienen un doble objetivo:
dar información directa y ayudar a resolver algunas cuestiones
planteadas en los juegos. |
|
Encuentra su pareja Juego similar al "Memory" en el que los visitantes deberán relacionar imágenes de enfermedades del olivo con los organismos que las producen. Tendrá varios niveles de dificultad. Puede ver todos los detalles en la página de "Juegos". |
|
Yincana Juego tipo "Oca" en el que a diferencia del juego original los jugadores deberán responder algunas preguntas antes de colocar la ficha en la casilla de destino. Puede ver todos los detalles en la página de "Juegos". |
|
Repilo Es la enfermedad fúngica más común del olivo y la que produce más daños económicos. Esta producida por el hongo Venturia oleaginea (anteriormente denominado como Cycloconium oleaginum, Spilocaea oleagina y Fusicladium oleagineum) el síntoma más característico es la presencia de manchas circulares oscuras en las hojas (a menudo con halo amarillo, "ojo de gallo"). Las hojas finalmente caen y si el ataque es severo el árbol se debilita, disminuyendo mucho la producción. Alcanza su máximo desarrollo con la humedad en primavera y en otoño. |
|
Antracnosis Conocida también como "aceituna jabonosa", es una enfermedad grave del olivo, causada por varias especies de Colletotrichum, y afecta al fruto durante el otoño. Estos se alteran apareciendo manchas ocres de aspecto aceitoso, que si la humedad es alta aparecen como pústulas gelatinosasy finalmente se pudren y se caen. El rendimiento es muy bajo y la calidad del aceite lampante. |
|
Emplomado Está producida por el hongo Pseudocercospora cladosporioides y se conoce también con el nombre de repilo plomizo, pdiendo afectar a hojas y frutos. Cuando el hongo forma esporas, el envés de las hojas presenta el color gris característico que da nombre a la enfermedad. En el haz aparecen manchas amarillentas que pueden volverse negras por muerte celular. En los frutos aparecen manchas marrones, circulares y hundidas. Puede permanecer en estado latente hasta que las condiciones de humedad y temperatura sean favorables. |
|
Verticilosis Llamada
también "marchitamiento o apoplejía del olivo",
y está causada por el hongo Verticillium dahliae, que
se encuentra en el suelo y penetra por las raíces, obstruyendo
los vasos e impidiendo el flujo de savia. Es una enfermedad muy grave
y difícil de combatir. |
|
En placa de Petri o recipiuente similar. Si colocamos las hojas infectadas en un ambiente húmedo las esporas germinarán. Cuando simplemente queremos tener hifas de hongos, las colocaremos directamente sobre un papel húmedo en el recipiente elegido, pero si queremos solo las de la enfermedad que estemos investigando deberemos trabajar en un entorno lo más aséptico posible y eliminar los hongos y esporas no deseadas de la superficie de la hoja. Sumergiendo la hoja en lejía diluida al 20% durante unos minutos conseguiremos que solo sobrevivan las que se encuentren dentro de la hoja, que son las que nos interesan. |
|
Cámara húmeda de grandes dimensiones. Cuando tenemos muestras que no quepan en una placa de Petri o queremos colocar muchas hojas podemos fabricar una cámara húmeda con una bandeja del tamaño deseado. Introduciremos en ella una rejilla con patas y colocaremos sobre la rejilla un papel de filtro, de forma que los bordes caigan hasta el fondo. Si echamos un poco de agua en el fondo ésta ascenderá humedeciendo el papel que soportará las muestras. |
|
Envoltorio con agua en la base. Una forma fácil de emular el sistema es envolver las hojas en papel de cocina y meter este envoltorio en un frasco con agua en el fondo. |
|
Azucar en disolución. Otro método
fácil de conseguir hifas consiste en cortar la hoja en tiras
finas, que contengan la zona deseada, y meterlas en agua azucarada para
que germinen las esporas y crezcan las hifas. |
|
Directamente sobre cinta adhesiva. Solo tenemos que pegar la cinta a la superficie deseada (hoja o superficie de cultivo) y después pegarla a un porta. |
|
Cultivo en medio Agar-patata-sacarosa (*) En este caso sólo se trata de raspar sobre la placa la parte de la hoja que queramos estudiar. La placa se llenará de colonias, que podemos estudiar directamente, con una lupa binocular, o tocándolas con cinta aislante y pegándola después en un porta. También podemos aislar las colonias procediendo a una siembra por agotamiento. (*) Aunque el medio estándar para cultivo de hongos es el PDA (agar patata dextrosa) bemos utilizado sacarosa por ser un azúcar mucho más fácil de conseguir. En la página de "Materiales y métodos" puede encontrar toda la información. |
|
| Cedidas por el Departamento de Patología Agro-Forestal de la Universidad de Córdoba. | Pendiente de recepción |
Cultivo en agua azucarada. Tras unos días en el líquido colocamos la tira sobre un porta y todo el borde estará lleno de hifas. |
|
| Imagen cedida por la Dra. P.Basallote. | |
| Imagen tomada de una preparación cedida por el Departamento de Patología Agro-Forestal de la Universidad de Córdoba. | |
Cortes histológicos de hojas infectadas. Posible imagen de la infección de una hoja al germinar esporas del hongo causante del repilo. Imagen tomada de un corte de 1 micra realizado por el Dr. J. Torreblanca en el Departamento de Biología celular de la Facultad de Biología de la Universidad de Sevilla, a partir de una muestra nuestra (bloque 23 1a) incluida en resina con la técnica descrita en Materiales y métodos. |
|
Maqueta de hoja de olivo para explicar el inicio de la infección de repilo entre la cutícula y la epidermis Desde este enlace puede accederse al proceso de fabricación de la misma. |
|
Tuberculosis Es causada
por la bacteria Pseudomonas savastanoi, que penetra en la planta
por heridas provocadas por granizo, animales o podas sin las medidas
adecuadas, y se manifiesta por la presencia de tumores en ramas, troncos
y a veces en frutos, pudiendo ser blandos o más frecuentemente
leñosos. Estos tumores suelen ser redondeados y pueden tener
varios centímetros de diámetro. La bacteria penetra en el olivo y comienza a multiplicarse, además se encarga de fabricar hormonas vegetales que estimulan el crecimiento y hacen crecer el tejido del árbol y las células que lo forman, dando lugar a las verrugas o tumores en cuyo interior viven las bacterias a expensas de los nutrientes del árbol. Cuando el tejido se vuelve leñoso y se agrieta, las bacterias salen al exterior e infectan otras ramas. |
|
"Ébola del olivo" o "Rogla del olivo" La bacteria
responsable es la Xylella fastidiosa subsp.
pauca. Es un bacilo Gram- , de aproximadamente 1-3 µm de
largo. Su infección origina síntomas como marchitez y
muerte de ramas y hojas. Las hojas pueden presentar necrosis y caer
prematuramente. Una variante en el sur de Italia ha ocasionado estragos
en la región y alarma a nivel mundial. |
|
Agalla de corona en el olivo. Es una enfermedad bacteriana causada principalmente por el patógeno Agrobacterium tumefaciens (también conocido como Rhizobium radiobacter). Se caracteriza por la formación de tumores o crecimientos anormales en el cuello de la planta (donde el tallo se une con la raíz) y en las raíces mismas. |
|
Toma directa para observación "in vivo". Las observaciones "in vivo" son interesantes, debido a la movilidad de las pseudomonas, y fáciles de conseguir, aunque para verla necesitaremos aumentos por encima de los 600. Para obtenerlas deberemos triturar los nódulos en un poco de agua y colar el material resultante con un colador fino para eliminar los restos de madera. A continuación pondremos una gota en un porta, lo cubriremos con un cubre y observaremos el resultado. |
|
Cultivo masivo en medio Agar-patata-sacarosa (*). Masiva, depositando unas gotas en la placa y extendiéndolas con un porta; o por estrías (agotamiento), tomando una muestra con un asa de siembra y siguiendo un trazado en zig-zag similar al que aparece en la imagen inferior. (*) Aunque es un medio estándar para cultivo de hongos también es adecuado para cultivar bacterias patógenas de plantas. |
|
| Estrias por agotamiento. | Pendiente de preparación |
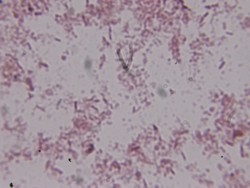
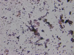
Técnica Realizaremos
un frotis con el preparado anterior y lo fijaremos por calor. A continuación
lo teñiremos con cristal violeta, que teñirá de
ese color todas las bacterias. |
|
Ejemplo En esta imagen vemos la diferencia entre las bacterias Gram+ y las Gram-. |
|
Fundamento Cómo hemos indicado anteriormente, el fundamento de la tinción de Gram radica en la diferente estructura de la pared bacteriana. Casi todas las bacterias tienen una pared celular por encima de la membrana. Esta pared es de azúcares (N-acetilglucosamina y ácido N-acetilmurámico) unidos por péptidos. En las Gram+ esta pared es gruesa y retiene el complejo cristal violeta-yodo, mientras que en las Gram-, que tienen una pared fina y recubierta por una membrana externa, el alcohol las decolora. Para verlas es necesario realizar una nueva función con safranina. |
|
Captura de un vídeo "in vivo" En el estand podremos ver preparaciones "in vivo", |
|
Preparaciones teñidas por la técnica de Gram. Es posible que también veamos preparaciones obtenidas de nódulos incluidos en resina. |
|
Imágen de Pseudomonas bajo microscopía electronica de barrido.
La imagen no corresponde a Pseudomonas savastanoi sino a Pseudomonas aeruginosa. A pesar de que existen muchas diferencias entra ambas especies, son morfológicamente muy parecidas (ambas son bacilos rectos o ligeramente curvados, Gram-, no esporulados, móviles con flagelos polares y de tamaños similares). |
|
Carenciales: Cómo su nombre indica son el resultado de la falta de algún elemento. En las tablas de la imagen adjunta podemos ver las más frecuentes junto con sus síntomas. La imagen superior corresponde a deficiencia en fósforo. |
|
Víricas: La imagen corresponde al Virus -OLMV- |
|
| Factores ambientales: Las temperaturas
extremas (heladas o calor excesivo) y condiciones de baja humedad pueden
debilitar la estructura del árbol y causar daños en el tejido
leñoso. Por ejemplo, humedades muy bajas (10-20%) pueden causar
una alta mortalidad en ciertas etapas de desarrollo de insectos, pero
también afectan la fisiología del árbol. Daños mecánicos y por manejo: Las heridas causadas por herramientas de poda mal desinfectadas o por la maquinaria durante la cosecha no son enfermedades en sí, pero son la puerta de entrada principal para patógenos biológicos como la tuberculosis del olivo. Contaminación: El uso inadecuado de herbicidas o la contaminación por nitratos en aguas subterráneas debido al exceso de abono pueden intoxicar la planta., |
|
| ********************* Enfermedades en general ********************* ****************************
Hongos **************************** Observaciones del Repilo (Microscopio Electrónico de Barrido): El
repilo del olivo y el acebuche: Diferencia repilo común y plomizo (vídeo): Imagen
ciclo repilo: ................................................................. Alternaria ................................................................. ................................................................Verticilosis ................................................................. Folleto divulgstivo sobre la verticilosis: Identificando Verticillium dahliae en olivar: Verticilosis del olivo imágenes:Ciclo y otros: ***************************** Bacterias ***************************** .............................................................. Tuberculosis .............................................................. Consejos de control y vídeo tuberculosis: Resumen tuberculosis (Oleo news): Resumen tuberculosis J.A. (2): Resumen
tuberculosis (Olive Health):Tuberculosis,
historia e información: |
|
Profesores implicados:
Carlos
Zamorano Leal
(Antiguo coordinador del Proyecto Olivar y Escuela y actual Webmaster de esta
página).
Eloísa
Valverde Carranza
(Miembro del Proyecto Olivar y Escuela)
Juan
Manuél García López
(Miembro del Proyecto Olivar y Escuela)
Juan Jiménez
Pérez
(Antiguo miembro del Grupo de Trabajo de Ciencias Naturales de Arahal-Paradas,
creador de los materiales originales)
En la página de imágenes, éstas aparecerán clasificadas según los siguientes apartados: Descargadas de Internet, profesionales y preparaciones caseras. En esta página se presentan imágenes de las tres fuentes, como apoyo al resumen de cada actividad, aunque si no son imágenes propias se indica su procedencia.
Algunos de estos materiales han sido presentados en la XVI Feria Comarcal de la Ciencia organizada por el IES Aguilar y Cano de Estepa.